Caries Arresting Medicament

(Silver Diamine Fluoride)

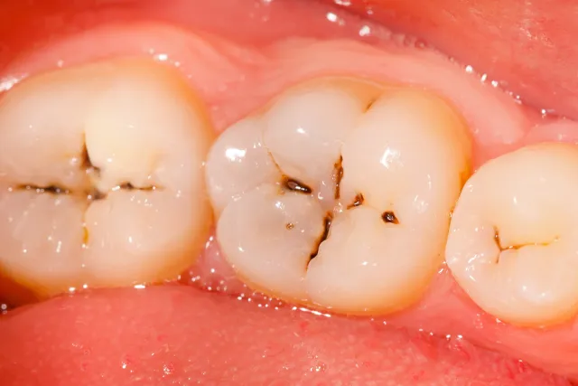
Silver diamine fluoride (SDF) is an FDA approved antibiotic liquid substance clinically applied to a child’s teeth to help prevent tooth cavities (or caries) from forming, growing, or spreading to other teeth.

While the preferred method for treatment of teeth with decay is removing the decay and placing a restoration (filling), this alternative treatment allows us to stop tooth decay with noninvasive methods. This is particularly helpful in treating children with special needs, or very young children that have baby teeth which will eventually fall out.

In some cases, your doctor may determine a filling is the correct for of treatment in your child’s case. Learn more about what you can expect with this type of restoration.

Parents should know that SDF blackens the decayed part of the tooth. This discoloration is less noticeable if the tooth is in the back of the mouth where it is hard to see.

While SDF is most commonly used on areas affected by cavities, some research indicates that SDF can be just as helpful when used as a preventive measure by being applied to healthy tooth surfaces. Dr. Toni may recommend this treatment option should it be in the best interests for your child.